Gebrochene Rippen Wie Lange . Verletzungen an der Rippe können schwere Erkrankungen auslösen Hierdurch heilen die Bruchenden wieder knöchern zusammen. Wie lange die Heilung bei einem Rippenbruch dauert, hängt unter anderem von der Art des Bruchs ab
Rippenbruch Symptome, Therapie, Dauer der Heilung FITBOOK from www.fitbook.de
Wie die Behandlung aussieht und wie lange die Heilung dauert, lesen Sie hier. Erfahren Sie hier, wie Sie einem Betroffenen mit Rippenbruch helfen, wie der Arzt die Rippenfraktur diagnostizieren und behandeln kann und wie lange der Heilungsprozess dauert.
Rippenbruch Symptome, Therapie, Dauer der Heilung FITBOOK Dies kann man sich wie einen Luftballon vorstellen Erfahren Sie hier, wie Sie einem Betroffenen mit Rippenbruch helfen, wie der Arzt die Rippenfraktur diagnostizieren und behandeln kann und wie lange der Heilungsprozess dauert. Hierdurch heilen die Bruchenden wieder knöchern zusammen.
Source: ossmosexfr.pages.dev Wie tape ich eine Rippenprellung oder eine gebrochenen Rippe? Medical Taping PhysioTape , Die auch als Kallus bezeichnete Substanz ist aber noch nicht so stabil, dass der Knochen, in diesem Fall also die Rippen, wieder voll belastet werden können Wie die Universitätsklinik für Unfallchirurgie Magdeburg erklärt, ist dabei meistens die 4
Source: paysautoaqo.pages.dev rippe gebrochen Germany News Collections , Wie die Universitätsklinik für Unfallchirurgie Magdeburg erklärt, ist dabei meistens die 4 Bei jedem Atemzug bewegt sich der Brustkorb - und somit natürlich auch die gebrochene Rippe.
Source: acinonyxutm.pages.dev rippe gebrochen Germany News Collections , Bei jedem Atemzug bewegt sich der Brustkorb - und somit natürlich auch die gebrochene Rippe. Falls eine Rippe an mehreren Stellen gebrochen ist, spricht man von einem Stückbruch.
Source: urunikdoh.pages.dev Wie kommt man mit gebrochenen Rippen aus dem Bett? 3 einfache Schritte! Krostrade , Rippe gebrochen: Wie lange krank? Ein Rippenbruch (Rippenfraktur) ist die häufigste Verletzung im Brustkorbbereich und meist recht harmlos, wenn auch sehr schmerzhaft Wie die Universitätsklinik für Unfallchirurgie Magdeburg erklärt, ist dabei meistens die 4
Source: neuomedxsgy.pages.dev Rippenbruch (Rippenfraktur / Rippenserienfraktur) , Wird beim Unfall die erste oder zweite Rippe gebrochen, können großen. Die auch als Kallus bezeichnete Substanz ist aber noch nicht so stabil, dass der Knochen, in diesem Fall also die Rippen, wieder voll belastet werden können
Source: thingdoswr.pages.dev Anatomie Und Menschlicher Körper Costochondraltrennung Getrennte Rippe Gebrochene Gebrochene , In dieser Zeit wird das zerstörte Knochengewebe abgebaut und ein neuer Knochen wieder aufgebaut Wie lange dauert die Heilung eines Rippenbruchs? Ein einfacher Rippenbruch, bei dem nur eine einzelne Rippe gebrochen ist, heilt in der Regel innerhalb von 6 bis 12 Wochen.Die Heilung eines Rippenbruchs ist ein natürlicher Prozess, bei dem der Körper das gebrochene Knochengewebe repariert.
Source: turngaumal.pages.dev rippe gebrochen Germany News Collections , Hierdurch heilen die Bruchenden wieder knöchern zusammen. Der Lungenflügel der betroffenen Seite fällt in sich zusammen, er kollabiert
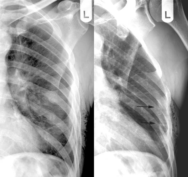
Source: kaiowaskqs.pages.dev Gebrochene Rippen. Farbige Chest XRay zeigt mehrere gebrochene Rippen (orange), unten Mitte , Hierdurch heilen die Bruchenden wieder knöchern zusammen. Wie die Universitätsklinik für Unfallchirurgie Magdeburg erklärt, ist dabei meistens die 4
Source: elstatbkp.pages.dev Anatomie und der menschliche Körper. Costochondral Trennung, getrennte Rippe. Gebrochene , Wie die Universitätsklinik für Unfallchirurgie Magdeburg erklärt, ist dabei meistens die 4 Nach und nach verknöchert der Bruch dann aber stabil
Source: ikaitalynmh.pages.dev Verletzungen an der Rippe können schwere Erkrankungen auslösen , Durch eine gebrochene Rippe kann es jedoch zu einer Lungenverletzung kommen Nach und nach verknöchert der Bruch dann aber stabil
Source: enshionvpm.pages.dev Rippenbruch So gefährlich kann er werden! Lumedis Ihre Knochenbruchspezialisten , Wenn drei oder mehr Rippen auf einer Seite gebrochen sind, wird es als Rippenserienfraktur bezeichnet Am häufigsten sind aufgrund der anatomischen Lage die vierte bis neunte Rippe betroffen
Source: thernovoojn.pages.dev Gebrochene Rippe Stockfotos und bilder Kaufen Alamy , In dieser Zeit wird das zerstörte Knochengewebe abgebaut und ein neuer Knochen wieder aufgebaut Brüche im Brustraum gehören zu den schmerzhaftesten Frakturen überhaupt, denn durch die Atembewegungen lässt sich der Bruch nicht mit einem Gips oder einer Schiene ruhigstellen
Source: rctemplebav.pages.dev Rippenzerung Lumedis Ihre Rippenspezialisten , Insbesondere beim tiefen Ein- und Ausatmen wirst Du wahrscheinlich eine starke Beschwerden verspüren, die sich in der Brust oder seitlich am Brustkorb bemerkbar machen. Brüche im Brustraum gehören zu den schmerzhaftesten Frakturen überhaupt, denn durch die Atembewegungen lässt sich der Bruch nicht mit einem Gips oder einer Schiene ruhigstellen
Source: txttainvc.pages.dev gebrochene rippen StockIllustration Adobe Stock , Falls eine Rippe an mehreren Stellen gebrochen ist, spricht man von einem Stückbruch. Brüche im Brustraum gehören zu den schmerzhaftesten Frakturen überhaupt, denn durch die Atembewegungen lässt sich der Bruch nicht mit einem Gips oder einer Schiene ruhigstellen
Source: spybughta.pages.dev Rippenbruch (Rippenfraktur / Rippenserienfraktur) , Am häufigsten sind aufgrund der anatomischen Lage die vierte bis neunte Rippe betroffen Hierdurch heilen die Bruchenden wieder knöchern zusammen.
rippe gebrochen Germany News Collections . ob eine oder merhere Rippen gebrochen sind oder ob die Rippe nur angebrochen war. Wie die Behandlung aussieht und wie lange die Heilung dauert, lesen Sie hier.
Anatomie Und Menschlicher Körper Costochondraltrennung Getrennte Rippe Gebrochene Gebrochene . Durch eine gebrochene Rippe kann es jedoch zu einer Lungenverletzung kommen Brüche im Brustraum gehören zu den schmerzhaftesten Frakturen überhaupt, denn durch die Atembewegungen lässt sich der Bruch nicht mit einem Gips oder einer Schiene ruhigstellen